カウンセリングここが違う
矯正歯科専門医としてお話しをお伺いし、サポートいたします。

矯正治療をしなくても生死に関わるとか、食事が全然できないということはありません。また費用もかかるし、一定期間の通院も必要で、場合によっては口の中の違和感、ちょっと痛みも押して頑張る必要もあります。
それでも、私たちから見て、終了後、ほぼ確実に矯正治療をして良かったと思っていただけるだろうと思える患者さんが多数おられます。
子供さんなら鼻が悪く、明らかに口呼吸という機能、健康面の問題があり、それが成長とともに歯並びはもちろん、より重要なことに顔立ちにも悪影響を与え、その審美面、それによる精神面のマイナスを引き起こす。ご両親の前向きな理解とサポートがあればこういったことを未然に防げる、子供さんにとって大きな人生の財産になると思える方がいらっしゃいます。
大人の方なら、幼少時から抱えるコンプレックスを何らかの事情で治療できなかった方で、矯正治療の技術の進歩により、思い立った今この時に、大きな恩恵を得られる。そう判断できる患者様には、そのように説明させて頂いております。
矯正治療をして良かったと思えるように、さらに言えば、人生の一時期に、矯正治療という経験を、それも、私ども小田矯正歯科クリニックで、受けて本当に良かったと思えるだろうと考えうる方だけに、治療を前向きに検討していただくようにしております。その結果、そのようになれば、私たちとしてもとても嬉しいのです。

「他の矯正歯科でもっと安くて治った」とか、「知人が○○歯科で治って良かった」とかで判断を終えていませんか。
なんでも上手に宣伝すれば、付和雷同してしまうこともあるかもしれません。患者さんの症状により、どの先生がやっても簡単に治る場合もあれば、どんなに名医がやってもなかなか満足いく結果が得にくいということもあります。そういったことをご存じでしょうか。
矯正歯科医は、医師として、当然、それを診断して、評価できる必要があります。患者さんの症状を診て、難しい、治しにくいという症状の方に対しては、より深く考慮した治療が必要でもあります。最善を尽くしてもリスクも大きいことを前もって患者さんに説明せねばなりません。
矯正治療では、成長発育とか生体力学等の一般歯科とは異なる知識、歯科医学の中でも矯正歯科という科学が必要であり、そのような知識に基づいた治療、それも、どちらかというと“量”ではなく“質”に力点を置いた矯正治療を施術してきたという経験が必要になります。
また、患者さんと先生はお互いに人と人ですから、医療に対する考え方の違いや人としての相性とかもあるかと思います。患者さんが初診相談に来られた時、本当にここで矯正治療を受けて良いんだろうかしっかり見ているはずですし、私どもも逆の立場でお引き受けして良いのか判断しようとしています。

専門用語を並べ立てるのではなく、持てる知識を皆さんのわかる言葉で、時間をかけて、できるだけ一生懸命、説明します。
矯正医としての約40年の治療の知識や経験から、患者さんへの説明の内容が変わってきたように思います。それは、治療自体だけではなく、患者さんに人として接する必要の重要性や、治療やコミュニケーションを私以外のスタッフと一緒に図ることになることをわかった上で説明する必要があるとの思いからです。
それは、大学病院に得た研究に裏打ちされた診療経験はもちろん重要ですが、それだけでなく、開業後に町医者として約30年、皆さんと接して学んだ経験からより強く感じています。わからないことはわからないと言いますし、友人にアドバイスするように、できるだけ率直にお話ししたいと思っています。
矯正治療を受けようという皆様方に、時として、“始めに”新しい装置“ありき、”新しい装置“が独り歩きして“伝わっている印象を持つことが少なからずあります。“新しい装置”は、長い年月をかけて培われた矯正歯科学の基礎知識、原理原則、の上に築かれています。このような意識なしに、安易に、”新しい装置”を、患者様に使ってみるというスタンスはどうかと思います。 矯正歯科医は、使用する“新しい装置”やそれを用いた治療法の基本理念が、十分わかって、始めて、十分に使いこなし、より良い結果を生みだせると聞く機会がありました。その通りだと思います。 “新しい装置”が良いのではなく、矯正歯科医の知識と経験、“新しい装置”も使いこなせる知識と経験が、何より、患者様の症状を改善するのに役立つのだとも思います。
私たちが目指しているカウンセリングは、“この”新しい装置“を使っているから、治りますよ”といったお話ではありません。治したいところ(主訴)はこういったところですね。 でも、他にも、このような原因から、こんな問題もありますよ。それをこの時期にこのようにして治していくことで、将来的に、このようなことが期待できますよ。また、逆に、このようなことは期待できませんよ、と説明したいと考えています。

まず、一番治したいところ(主訴)をお聞きして、それをよくわかった上で、説明したいと考えています。それを治す治療を心がけています。本当に当たり前のことですが、それが治らなければ話になりません。ですから、いくらドクターサイドからいい治療だと言っても、患者さんの思いと違えば治療の意味がないかもしれません。
また、治したいと思っているところ以外の私たち専門家から見て問題であるところ(プロブレムリスト)についても説明します。皆さん自身が、どこが悪いのか、どこを治したいのかはっきりしない場合には、頭の中が整理できると思います。
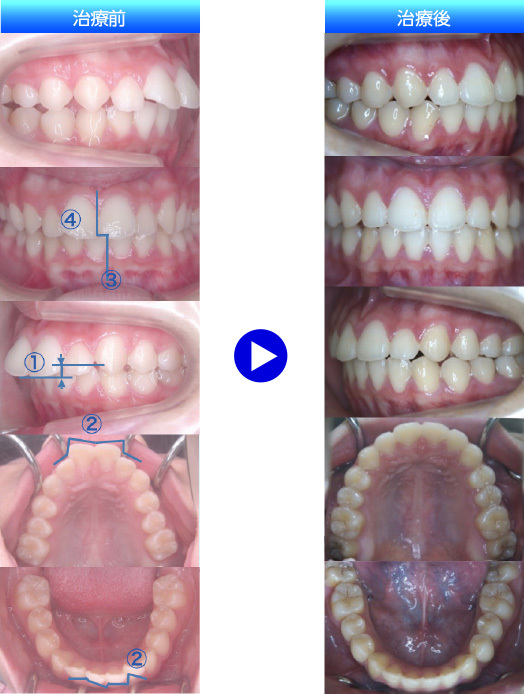
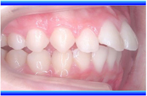
[治療例]出っ歯を審美的改善の満足度に配慮した、13歳女性の症例
| 矯正治療前 |
|
|---|---|
| 矯正治療後 |
|
| 性別(治療開始年齢) | 女性(13) |
| 治したいところ(主訴) | 出っ歯(上顎前突) |
| プロブレムリスト (治療方針) |
主訴:上顎前突(出っ歯) ①過蓋咬合(咬み合わせが深い) ②叢生(でこぼこ) ③下あごが左にずれている。 ④上の歯の中心が右へずれている。 |
| 治療内容 | エッジワイズ装置等を用いる。審美的改善の満足度に配慮。 |
| 治療期間 | 約2年半 |
| 費用 | 約85万円(税別) |
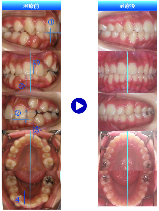
[治療例]11歳女性、でこぼこを審美的改善の満足度に配慮して治療した症例
| 矯正治療前(お口の中) |
|
|---|---|
| 矯正治療後(お口の中) |
|
| 矯正治療前(外見的変化) |
|
| 矯正治療前(外見的変化) |
|
| 性別(治療開始年齢) | 女性(11) |
| 治したいところ(主訴) | でこぼこ(叢生) |
| プロブレムリスト (治療方針) |
主訴:でこぼこ(叢生) ①上顎前突(出っ歯) ②過蓋咬合(咬み合わせが深い)、叢生(でこぼこ) ③下あごが左にずれている。 ④上の歯の中心が左へずれている。 ⑤下あごが上の歯でロックされて後ろに押し込まれていることにより、咬むことがしんどく、また見た目も下あごが小さいといった感じになっている。 |
| 治療内容 | 非抜歯治療。エッジワイズ装置、リップバンパー装置等を用いて、ストリッピング時にはエナメル質の厚み、形態に注意し、配列に際しては、歯肉の退縮も考慮。 |
| 治療期間 | 約3年半 |
| 費用 | 約90万円(税別) |

ドクターが治すべきと考えて下した診断と治療方法だけが唯一の選択肢ではなく、皆さんの(受験、転勤、仕事、費用面での制限、価値観などの社会的背景も十分配慮して、可能な他の選択肢を提示することも重要だと思います。症状だけでなく皆さんの社会的背景もお聞きして、それに合うように治療を進め、最良の状態に仕上げていきたいと考えています。
注)DOS(Doctor Oriented System), POS(Patient Oriented System)
皆さんの症状を、どこまで改善できるのかは、できるだけ類似した、多くの具体的な治療例をお見せして、それらとの違いも説明し、できるだけイメージがわくようにお話しします。治療例参考ください。その際には、皆さんのお口と顔の写真を用いて、できるだけ詳細にコメントを書き加えながらご説明いたします。
また、矯正治療が、皆さんの生活の中で、どれだけの負担になるかは、治療のタイムスケジュールや、治療した方のコメントもご紹介して理解していただくようにしています。
皆さんの治したいところを伺っても、その許容範囲があまりに狭いと(例えば、ある有名人と同じ口元をしたい)、満足できる範囲に治せるかどうかわからない時もあります。
それは、実際の個々の矯正治療は、その人の持っている歯やあごの大きさや形を使って、その中でできるだけ見た目もよく、機能的にも良い状態(個性正常咬合)にする治療だからです。当たり前ですが、皆さんが同じ顔、口元になるわけではありません。

矯正治療は、「早く短期間で治したい。」「歯を抜かないできれいに治したい。」「口元をできるだけ退げたい。」「装置の負担ができるだけなく治したい。」「できるだけ低価格で治したい。」と誰しも思うところですが、比較的多くを満たすことができる場合もありますが、症状が重篤であれば、必ずしも、すべての条件を満たせるわけではありません。
もし迷う場合は、その場合は自分の治したいところがどこなのか、それに対してご自身が生活の中でどれだけの負担が避けるのか、今一度問い直してみてください。そして、矯正治療をするなら、しっかりと納得した上で始めていただくことはとても重要です。
また、皆さんがしっかりと考えていただけるように、カウンセリングの中では、このような情報を説明します。


