舌側矯正
「矯正は格好悪いからイヤ」とあきらめないで下さい。以前は目立つ矯正装置を敬遠しがちでしたが、本クリニックでは目立たない白色のセラミック製の装置や歯の内側につける外から見えない装置などハイテクを利用した優れた装置によりすべてのケースを治療しています。仕事上、装置が見えては困る方や、友人、同僚などに知られず、いつの間にか知的で美しい口もとに、とお考えの方、お気軽にご相談ください。

多くの大人の方の期待にこたえるために、特に外から見えない装置には多くの海外研修を通して力を入れており、数多くのより良い結果を生み出しております。
まだ、技術が十分確立されていなかった、1995年の開業当時から、日本の著名な先生のコースを受講させていただいたり、欧米にも何度も行って、そのたびに撮って帰って来たビデオを、1日10時間以上、くいいるように見ていました。
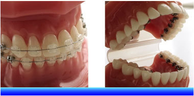
裏側矯正が難しい理由は
1.表側とは違う異なる力学的な考えのもとに治療しないといけないこと
表側ではなく歯の裏側に付けると、装置と装置の間の距離が短くなり、 より大きな力がかかります(かかる力は距離の3乗に反比例します)。 矯正で歯を動かす時には、比較的弱い適切な力が必要なため、裏側につけると、必要以上に大きくなりがちです。
また、歯の移動は、歯の見えている部分(歯冠)に力をかけるので押しても引いても歯は倒れることになりますが、そこにひねりの力(モーメント)を加えることにより時にはまっすぐに時には歯根から動かすことができます。

2.装置をセットする際の工夫が必要であり、また非常に重要であること
歯の表側は、表面が比較的なめらかで、適切な位置に装着すれば、 ほぼまっすぐ並ぶブラケットが開発されているため(ストレートワイヤー法)、術者が目で見ながらピンセットでつけていきます。
歯の裏側は、特に日本人では、表面がでこぼこしており、また、表側に相当するようなブラケットも開発されていません。
3.口の中での複雑な実際の施術が難しいこと
当然なのですが、歯の裏側では、表側の患者さんに比べて、装置の装着や ワイヤーの出し入れなどが面倒になり、施術に経験が必要になります。

26歳 女性
治療費 約130万円(税別)治療期間 2年
使用装置 舌側矯正装置、クォードへリックス

28歳 女性
治療費 約110万円(税別)治療期間 2年3か月
使用装置 舌側矯正装置(上)、エッジワイズ装置(下)、クォードへリックス、